Chuẩn đoán lâm sàng dựa trên hình ảnh thu về từ các thiết bị y tế ngày càng có vai trò quan trọng. Với sự trợ giúp của công nghệ, hình ảnh hiển thị trên màn hình ngày càng rõ nét và chính xác hơn. Hiện Nam Thanh đang phân phối chính hãng dòng màn hình đánh giá lâm sàng 19HK312C của LG, dưới đây là thông tin về chiếc máy này, bạn đọc cùng tìm hiểu nhé.
Chiếc màn hình đánh giá lâm sàng 19HK312C của LG được thiết kế dành riêng trong môi trường bệnh viện với công nghệ IPS cung cấp độ phân giải lên tới 1280 x 1024 và tỷ lệ tương phản 900: 1. Sản phẩm cho kết quả hình ảnh hiển thị sắc nét góp phần cho việc chuẩn đoán dễ dàng hơn.
- Vỏ nhựa màn hình có thuộc tính kháng khuẩn: LG đã trang bị cho chiếc màn hình đánh giá lâm sàng 19HK312C vỏ nhựa có thuộc tính kháng khuẩn tuân thủ tiêu chuẩn ISO 22196 giúp ức chế sự phát triển của vi khuẩn gây ảnh hưởng tới chất lượng của máy.

- Độ phân giải chính xác 330 nits & NTSC 72%: Hỗ trợ độ sáng tối đa 300 cd / m² và độ phân giải HD 1.3MP, cho phép hiển thị hình ảnh y tế với xếp hạng NTSC 72%. Với các chỉ số này bạn sẽ thấy màn hình sáng hơn, chất lượng hình ảnh cao đồng thời độ xám được tối ưu hơn.
- Tương thích DICOM Part 14: Để đảm bảo khả năng tạo bóng mờ ổn định và chính xác nhất cho hình ảnh y tế, LG đo và thiết lập tập sắc màu xám trên dây chuyền sản xuất nhằm tạo ra màn hình tuân thủ tiêu chuẩn DICOM Part 14.
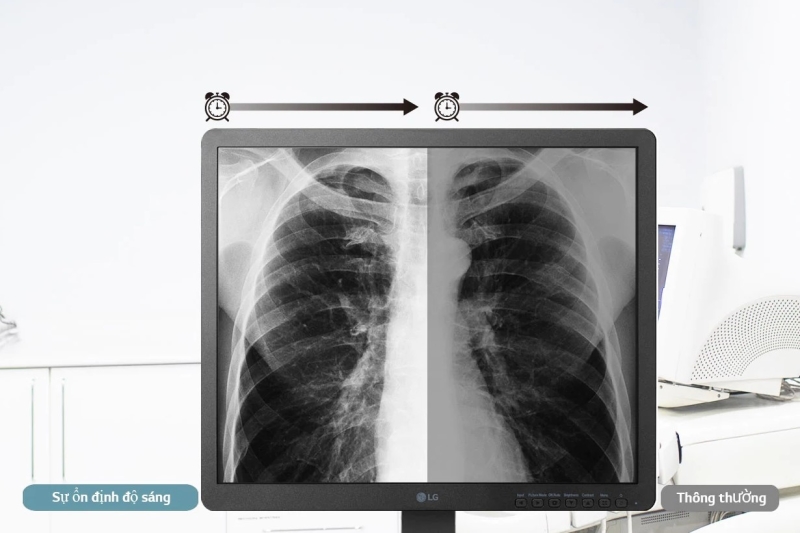
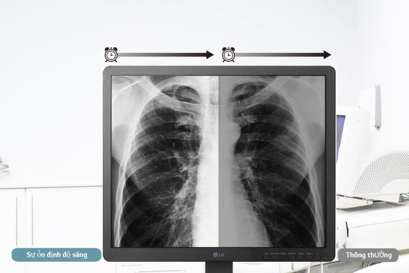
- Độ sáng ổn định: Một cảm biến được trang bị trong màn hình với nhiệm vụ đo độ ổn định độ sáng của đèn nền màn hình và tự động bù các dao động độ sáng từ đó mang lại hình ảnh ổn định trong suốt quá trình sử dụng.

- Thời gian phản hồi nhanh: Cho phép màn hình nhận tín hiệu nhanh chóng và hiển thị hình ảnh rõ ràng, không bị biến dạng, cung cấp thông tin giải mã chính xác để đạt được chất lượng hình ảnh cao.

- Flicker Safe giảm rung hình: Flicker Safe giảm mức nhấp nháy trên màn hình có thể gây mỏi mắt. Chế độ đọc reader mode giảm ánh sáng xanh và giúp giảm mỏi mắt cho các y bác sĩ.

- Trục xoay hai chiều: Màn hình với chân đỡ trục xoay hai chiều có thể được cấu hình theo nhu cầu của người dùng và môi trường y tế cùng với các thiết bị y tế khác.
- Màn hình: 01 cái
- Dây nguồn: 01 bộ
- Dây cáp HDMI: 01 bộ
- Dây cáp DisplayPort: 01 bộ
- Dây cáp D-SUB: 01 bộ
- Dây cáp DVI: 01 bộ
- Cáp USB 3.0: 01 bộ
- Chân đế: 01 bộ
- Hướng dẫn sử dụng: 01 bộ
- Kích thước: Loại 19"
- Tấm nền: IPS
- Kiểu màn hình: Màn hình phẳng
- Gam màu (CIE1931): NTSC 72%
- Độ sâu màu (Số màu): 16,7M (8bit)
- Chiều cao điểm ảnh (mm): 0,294mm x 0,294mm
- Tỷ lệ màn hình: 05:04
- Độ phân giải: 1280 x 1024
- Độ sáng (Điển hình): 330 cd/m2
- Tỷ lệ tương phản (Gốc): 900:01:00
- (DFC): Mega
- Thời gian phản hồi (bật/tắt): 14ms (Điển hình)
- (GTG): 5ms (Nhanh hơn)
- Góc xem (CR≥10): 178/178
- Xử lý bề mặt: Chống lóa mắt 3H
- Cổng xuất hình: 1 x DisplayPort 1.2, 1 x HDMI 1.4, 1 x DVI, 1 x VGA/D-sub
- Cổng mở rộng 1 x USB 3.0
- Trọng lượng: 5kg

- Bước 1: Đọc hướng dẫn sử dụng và tiến hành lắp đặt màn hình
- Bước 2: Tiến hành kết nối 19HK312C với máy tính và các thiết bị liên quan khác
- Bước 3: Cài đặt các thông số cho màn hình
- Bước 4: Sử dụng sản phẩm
- Bước 5: Tắt thiết bị khi không sử dụng
- Vệ sinh định kỳ: Để đảm bảo cho thiết bị luôn mới, bạn cần vệ sinh thiết bị định kỳ thường xuyên với miếng vải mềm, chà nhẹ vào màn hình cho lớp bụi bẩn được loại bỏ. Tuyệt đối không sử dụng các loại chất tẩy rửa như benzen, axit, các chất tẩy rửa có tính kiềm…
- Đặt màn hình 19HK312C tại những nơi thoáng mát, tránh đặt tại nơi ẩm ướt, bụi bẩn
- Tránh ánh sáng mặt trời chiếu trực tiếp

- Sử dụng phụ kiện chính hãng của LG
- Lắp đặt thiết bị tại môi trường mà nhà sản xuất khuyến cáo
- Kết nối màn hình với các thiết bị khác theo chỉ định của nhà sản xuất
- Kiểm tra chất lượng màn hình thường xuyên để đảm bảo chúng luôn hoạt động tốt, cho hình ảnh chính xác.
- Không tự ý tháo rời màn hình
Màn hình đánh giá lâm sàng LG 19HK312C đang được sử dụng phố biến tại nhiều bệnh viện, phòng khám hiện nay. Hy vọng qua bài viết này, bạn đọc đã hiểu thêm về chiếc máy này. Liên hệ ngay tới Nam Thanh để được tư vấn và báo giá sản phẩm bạn nhé.